CHARACTERISTICS OF VG'S RHINOPLASTY PROCEDURES
At VG Plastic Surgery, we focus on creating a beautiful nose shape that
is in overall harmony with the face
Personalized nose design that suits the patient's face shape
Personalized nose design that suits the patient's face shape
Instead of creating the same nose design for every patient, we perform an accurate analysis of the face shape of each and every patient to create the ideal nose shape.
Stylish nose shape that accentuates the attractive features and minimizes the aesthetic flaws
We accurately assess the strengths and weaknesses of the patient's facial features in order to accentuate attractive features and minimize the aesthetic flaws during the rhinoplasty procedure to ultimately create a stylish nose shape.
Multi-purpose rhinoplasty aimed at enhancing beauty and treating medical conditions
We perform multi-functional rhinoplasty procedures, aimed at enhancing beauty and treating medical conditions, for the purpose of preventing corrective surgery.
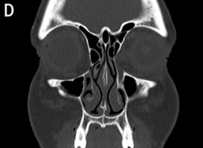
Precise analysis using 3D CT scans for a successful nose surgery
Precise analysis using 3D CT scans for a successful nose surgery
At VG Plastic Surgery, we carry out precise analysis and diagnosis procedures using 3D CT scans prior to surgery This is to analyze the problems that cannot be detected through consultation from a multi-faceted approach
ABOUT "VG 3D CT RHINOPLASTY
More accurate nose surgery can be performed by carrying out a precise analysis based on 3D CT scans
prior to surgery
Dr. Im Young-min from VG Plastic Surgery explain
the 3D CT rhinoplasty
An experienced plastic surgeon can determine the state of the nasal bone and the septal nasal cartilage based on a visual inspection alone. However, in order to determine the state of the nasal septum in the deeper parts, the degree of curvature of the nasal bone, the overall size and shape, and asymmetry, there is a need to perform a 3D analysis using 3D CT scans, which helps the surgeon formulate a more accurate and safer surgical plan. Of particular note, in the event of corrective nose surgery, a 3D analysis will reveal the state and notable characteristics of the implant and the septal nasal cartilage as well as the potential functional problems such as septal deviation in advance.
3D COMPUTED TOMOGRAPHY DOCTOR'S MESSAGE
A general diagnosis will not reveal everything.
But 3D CT scans reveal all the details!
3D CT scans tailored to rhinoplasty procedures enable a multi-faceted analysis of the size and shape of the nasal bone, the septal nasal cartilage and the degree of curvature of the bone and/or cartilage and allow the surgeon to check for enlargement of the inferior nasal concha, presence of implants and determine the implant type and problems.
Contact Us for Rhinoplasty
For international patients seeking expert rhinoplasty services, Very Good Rhinoplasty Surgery offers personalized consultations and treatments tailored to your needs. Contact us today to schedule your appointment—our English-speaking staff is ready to assist you every step of the way.






